Na busca constante por um diagnóstico mais preciso e detalhado, o avanço tecnológico fez chegar com muito mais vantagens o uso da tomografia computadorizada para área odontológica. A Tomografia Computadorizada Volumétrica é uma técnica revolucionária de obtenção de imagem que utiliza um feixe cônico de radiação (Cone Beam) associado a um receptor de imagens bidimensional. Nesta técnica, o conjunto fonte de raios X e receptor de imagens gira 360º uma única vez em torno da região de interesse.
Durante este giro, múltiplas projeções bidimensionais em ângulos diferentes são obtidas e enviadas ao computador. Essas projeções contêm toda a informação necessária para compor a matriz da imagem em 3D. Após a coleta da imagem, o paciente pode ser liberado, visto que toda a informação necessária para gerar as imagens de interesse está contidas na imagem matriz, que por sua vez fica armazenada nos nossos computadores. Cortes nos três planos (axiais, coronais e sagitais) do paciente podem então ser obtidos a partir desta imagem tridimensional. É possível também obter reconstruções panorâmicas e cefalométricas a partir do arquivo. As imagens podem ser fornecidas em filmes, papel colorido e em CD (arquivos DICOM, PDF ou Dentalslice).
Excelente qualidade de imagem - resolução (voxel de 0,2mm).
As imagens digitais são formadas por pequenos pontos, a menor unidade destas, que são pequenos quadrados com medidas laterais idênticas, largura (x) e altura (y), sendo chamado de pixel. Como a tomografia é um volume tridimensional, um novo plano é adicionado, a profundidade (z), constituindo então não mais um quadrado e sim um cubo, chamado de voxel (Figura abaixo). A tomografia cone beam possui voxel isométrico (voxel com altura, largura e profundidade de iguais dimensões) e voxel isomorfo, aumentando a capacidade de reproduzir detalhes dos tecidos duros com maior nitidez e clareza do que as tomografias médicas (que não possuem voxels isométricos), especialmente de estruturas delicadas, como por exemplo, lâmina dura. Teoricamente quanto menor o tamanho do voxel, mais nítida tende ser a imagem, mas outros fatores como a qualidade do sensor, projeto do aparelho, estabilidade do paciente e software interferem na nitidez final.

Vantagens
• Baixa dose de radiação (equivalente a uma tomada periapical boca toda) com possibilidade de imagens somente na região de interresse;
• Rapidez na aquisição (de 8 a 26 segundos) e reconstrução em 1 minuto;
• Comodidade para o paciente, permanencendo sentado o que também favorece o diagnóstico ATM;
• Excelente qualidade de imagem - resolução (voxel de 0,2mm);
• Aparelho de 14 bits - maior quantidade de tons de cinzas, essencial para diagnóstico;
• Imagens tomográficas sem distorção ou ampliação, oferecendo segurança no planejamento do paciente;
• Reduzida quantidade de artefatos provenientes de restaurações e próteses metálicas;
• Baixo custo dos exames.
Na apresentação básica, a reconstrução do exame tomográfico aparece como fatias de imagens nos três planos: coronal, axial e sagital.


O radiologista “navega” por estas imagens, analisando toda a aquisição e com o auxílio de ferramentas ele monta e escolhe as imagens que irão compor o filme.
Nos softwares há ferramentas que permitem a reconstrução e a obtenção de novos cortes que mostram imagens de uso pontual na odontologia como os cortes transversais e longitudinais.
Os cortes transversais são cortes perpendiculares ao arco da maxila e mandíbula.
Na reconstrução panorâmica aparece uma régua no limite inferior que serve de localização para os cortes transversais.

Os cortes longitudinais são cortes no sentido vestíbulo lingual ou palatino, perpendiculares a uma reta traçada sobre o dente ou a área em questão.

Algumas orientações são necessárias para melhor entender as imagens tomográficas.
A Tomografia Computadorizada de Feixe Cônico pode ser empregada em várias especialidades odontológicas, veja algumas das suas indicações:
* Implantodontia
Para verificar morfologia, quantidade e qualidade óssea. Também utilizada para avaliação das estruturas ósseas adjacentes aos implantes.

* Ortodontia
Para traçado cefalométrico, avaliação de assimetrias faciais e estudo das posições dentárias.



* Periodontia
Para verificar fenestração óssea, altura de crista alveolar e lesão de furca.

* Cirurgia e Traumatologia Buco-Maxilo-Facial
Para avaliar fraturas, dente incluso, tumores, entre outros.

* ATM
Visualização dos componentes ósseos com a maior resolução existente na atualidade.

* Endodontia
Para verificar obturação dos canais radiculares, visualizar canais acessórios, perfurações, reabsorções e avaliação de fraturas radiculares.


* Odontologia Restauradora
Avaliação das estruturas dentárias, restaurações e próteses

CASO 1 - Anquilose de ATM
Paciente com assimetria, limitação de abertura bucal. Observa-se união óssea da porção posterior e lateral do côndilo ao esfeóide e zigomático.

CASO 2 - Localização de dente retido
História clínica de exodontia do dente 38 há um ano, sem no entanto localizar o elemento dentário acreditando que o paciente havia engolido o dente. Na radiografia panorâmica observa-se a presença do dente 38 superposto ao ramo. Na tomografia localiza-se o dente no assoalho bucal.



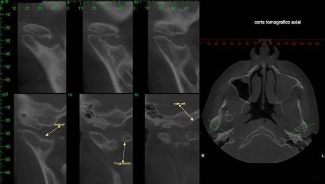
CASO 3 - Fratura de ATM
Paciente com história clínica de trauma. Fratura no côndilo direito com deslocamento do fragmento para medial e deslogamento do côndilo para lateral da cavidade articular.



CASO 4 - Lesão Patológica
O exame tomográfico permite a exata localização e extensão do tumor bem como a identificação de áreas com destruição da cortical e a localização de lesões satélites.

CASO 5 - Dente Retido
Dente 47 e 48 retidos, em posição mésio horizontal, sobrepostos com raízes superpostas ao canal mandibular. Ao exame tomográfico identifica-se o canal passando rechaçado entre os ápices do 48 e a cortical vestibular e passando entre as duas raízes mesiais do dente 47.

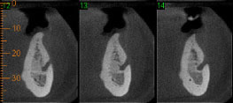
CASO 6 - Reabsorção
Achado radiográfico, na radiografia periapical de rotina, nota-se área de menor densidade na distal cervical e alteração no contorno na mesial, e rarefação óssea periapical. Ao exame tomográfico pode-se observar o dente 11 com osteólise apical e área de reabsorção na distal e reabsorção por substituição na mesial.

CASO 7 - Perda Óssea
Exame tomográfico de rotina para estudo de implante em áreas edêntulas posteriores. Observa-se perda da cortical vestibular no dente 41.

CASO 8 - Prototipagem
A prototipagem biomédica é o processo de construção de modelos físicos da anatomia humana por técnicas de prototipagem rápida. Esses modelos são baseados nas tomografias computadorizadas dos pacientes, desta forma, os protótipos são individualizados e representam com fidelidade a estrutura anatômica.
A Clinica Serraro gerencia todo o processo de envio das imagens do paciente até o centro de prototipagem, e você recebe o protótipo em seu consultório.
Tipos de Protótipos:


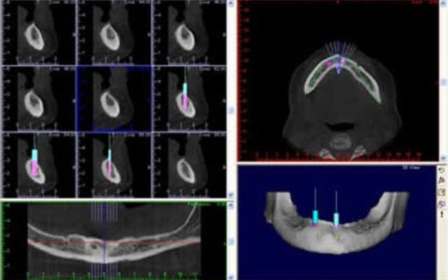
Reformatação computadorizada com DentalSlice
Para trabalhar no DentalSlice basta solicitar na Clinica Serraro a tomografia computadorizada, onde as imagens DICOM (arquivos da tomografia) serão convertidas para o ambiente DentalSlice criando um arquivo que será enviado para o cirurgião dentista.
O Dental Slice é uma ferramenta de planejamento implantodôntico pré-operatório, desenhado para oferecer auxílio cirúrgico-protético com alto nível de precisão e aumentar a margem de segurança no tratamento.
O programa foi projetado para rodar em computadores pessoais e ambiente Windows.
O programa é acessível a qualquer cirurgião dentista e permite que o planejamento seja realizado pela própria equipe que vai realizar a cirurgia. As imagens também podem ser segmentadas, oferecendo melhor visualização de detalhes, como por exemplo do seio maxilar, canal da mandíbula ou de lesões.

