RADIOGRAFIAS EXTRA-ORAIS

PANORÂMICA DIGITAL

Também chamada de ortopantomográfica.

Permite em uma única tomada, a visualização das estruturas do complexo maxilo-facial, conferindo portanto sua utilidade em todas as especialidades. Devido ao posicionamento do paciente (afastado do filme) a imagem não possui a mesma riqueza de detalhes finos como na periapical, porém vantagens como ampla cobertura da área examinada, a projeção das estruturas anatômicas com reduzida superposição, além da baixa dose de radiação, são justificativa de sua crescente aceitação.



PANORÂMICA PARA IMPLANTE

Com o auxílio de um software específico as estruturas anatômicas são evidenciadas e realizamos medidas lineares já corrigindo o valor de ampliação da imagem (específico para cada tipo de aparelho e fabricante).



CHECK-UP RADIOGRÁFICO

Exame composto de uma tomada radiográfica panorâmica, periapicais boca toda e interproximais de molares e pré-molares.
Alia a amplitude de visualização da panorâmica associada com a riqueza de detalhes obtidas nas radiografias periapicais e interproximais que somada a um exame clínico minucioso permite um diagnóstico clínico mais preciso.



PANORÂMICA COM COMPLEMENTARES

Exame que compreende de uma radiografia panorâmica e interproximais de molares e pré-molares de ambos os lados.



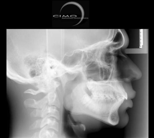
TELERRADIOGRAFIAS

Lateral e Frontal
Radiografias do crânio, realizadas a uma distância pré-estabelecida, com o objetivo de diminuir distorções, com o auxílio de um artefato posicionador – cefalostato. Permite mostrar os ossos da face e crânio para avaliação do crescimento, desenvolvimento, relação esqueletal, simetria, estudo de adenóides, processos patológicos e traumáticos. São exames utilizados na prática cirúrgica e ortodôntica, como base para análises cefalométricas, tanto manual como computadorizada.


* Telerradiografia Lateral



* Telerradiografia Frontal


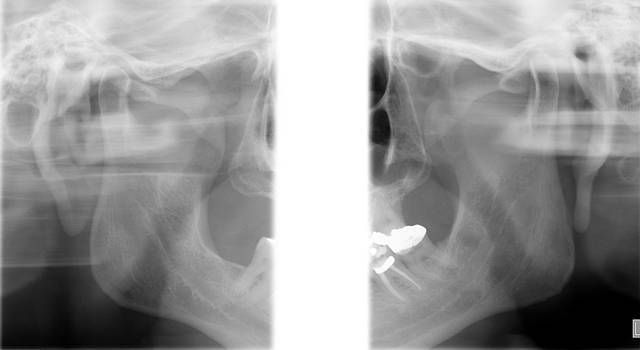
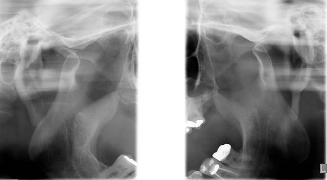
PLANIGRAFIA DE ATM

Tem a finalidade de melhor evidenciar o processo condilar em duas posições: abertura máxima (AM) e máxima interdigitação cuspidária (MIC), em ambos os lados. É especifica para análise da estrutura condilar.


* Boca Aberta



* Boca Fechada


CARPAL

Devido à grande quantidade de centros de ossificação contidos na mão e punho a radiografia carpal é usada como diagnóstico da maturidade óssea. Através dos dados obtidos pelo Dr. Tavano (USP Bauru) em crianças brasileiras, este recurso fornece ao profissional a curva de crescimento individualizado do paciente, indicando em que etapa do surto este se encontra, bem como quanto tempo falta para o final desse crescimento.